Press release
ICON™ GO Becomes the World's Only Portable FDA-Cleared Retinal Imaging System with Expanded Fluorescein Angiography Capabilities

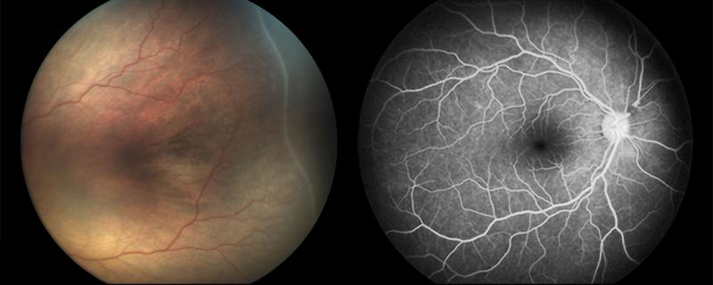
A Revolutionary Step Forward: Transforming Portable Retinal Imaging in Clinical Care with Fluorescein Angiography
"Securing FDA clearance for Fluorescein Angiography with ICON™ GO is not just a milestone but a testament to NeoLight's relentless commitment to innovation and elevating patient care standards," said Vivek Kopparthi, Co-founder & CEO of NeoLight.
Embodying a unique blend of portability, cost-effectiveness, and uncompromised image quality, ICON™ GO sets the gold standard in portable retinal imaging. The addition of FA capabilities is transformative, particularly in the diagnosis and management of retinoblastoma patients.
"Following this FDA clearance, hospitals can now integrate ICON™ GO more holistically into their patient care strategy. Its expanded capabilities bring us closer to universal newborn screening and demonstrate NeoLight's global commitment to the ROP industry," commented MaryBeth Smith, Chief Commercial Officer of NeoLight.
Designed to empower clinicians across the continuum of care for screening and treating newborns, ICON™ GO employs proprietary Direct Illumination technology. This ensures high-resolution and high-contrast retinal imaging, particularly beneficial for darkly pigmented fundi. It is meticulously optimized to minimize scatter at the edge of the field of view.
The ICON™ GO with FA is available for purchase Q4 2023, solidifying NeoLight's drive to impact healthcare both domestically and globally. The release of ICON™ GO with FA capabilities aligns with NeoLight's overarching ambition to serve a global patient base, thereby enhancing its market reach and confirming its role as an industry leader.
1475 N Scottsdale Rd Ste 100
Scottsdale AZ, 85257
Kelly Johnson
kelly@theneolight.com
801-644-5918
NeoLight is an empathy-driven healthcare technology leader in the neonatal care space, utilizing leading-edge solutions to deliver top-tier, transformative care. Our approach centers on the intricate dynamics of the doctor-nurse-parent-infant network, going beyond treatment to offer comprehensive care. Discover more at https://www.theneolight.com, and connect with us on LinkedIn, and Facebook.
This release was published on openPR.
Permanent link to this press release:
Copy
Please set a link in the press area of your homepage to this press release on openPR. openPR disclaims liability for any content contained in this release.
You can edit or delete your press release ICON™ GO Becomes the World's Only Portable FDA-Cleared Retinal Imaging System with Expanded Fluorescein Angiography Capabilities here
News-ID: 3205605 • Views: …
More Releases for ICON™
Phase-out of 3M™ Novec™ Engineered Fluids
In December 2022, 3M™ announced their plans to stop producing per- and polyfluoroalkyl substances (PFAS) in its product line. Final order dates have now been set for March 31st 2025, and the supply of these products will end on December 31st 2025.
This phase-out affects the following 3M™ product lines:
3M™ Novec™ Engineered Fluids 3M™ Fluorinert™ Electronic Liquids
With 3M™ discontinuing these products, many companies are now evaluating alternatives to find suitable replacements.…
SOCIAL MEDIA ICON JIFFPOM LAUNCHES JIFFPOM® CUTELIFE™ TOY LINE AT WALMART
LOS ANGELES, CA (JANUARY 22, 2019) – Jiffpom Cutelife, the brand-new toy line from viral sensation and most talked about dog in the world, Jiffpom, debuts its line of collectible figures and plush toys. The exclusive new line is now available at over 2,300 Walmart stores nationwide. Jiffpom Cutelife brings everyone’s favorite Social Star to life so kids everywhere can take him home for playtime!
With over 30 million followers across…
Dali Wireless™ Introduces its Low Power t-Series Solution: tHost™ and t30™
Palo Alto, October 25, 2012 – Dali Wireless, a leader in next generation wireless infrastructure, today announced the release of its low power t-Series solution, which consists of the t30 remote unit and the tHost head-end.
The exponential growth of mobile data capacity is challenging traditional cellular networks. Dali Wireless has created a unique solution to address these capacity limitations by combining industry standard protocols with the culmination of over…
GFI™ Software Announces GFI LANguard™ 2011
Clearwater, FL – May 23, 2011 – GFI Software’s Infrastructure Business Unit today announced the launch of GFI LANguard™2011, the latest version of the company’s comprehensive network vulnerability scanning and patch management solution. GFI LANguard 2011 is the first network vulnerability and patch management solution to integrate with more than 1,500 security applications and to include keyword search functionality, illustrating GFI’s commitment to providing small and medium-sized businesses (SMBs) with…
SaferWatch™ announces TIN Manager™
HEBRON, ND – SaferWatch announces the release of their latest software solution, TIN Manager™. The TIN Manager feature is designed to verify the accuracy of Taxpayer Identification Number (TIN) and name information prior to submitting 1099’s to the IRS so that the company will not be penalized or fined for mismatches.
TIN Manager eliminates tax preparation hassles by giving the bookkeeping departments of broker and shipper businesses a…
Powerboat Challenge™ now racing on the iPhone™
FISHLABS presents the multi-award-winning water racing spectacle with clearly improved graphics, analogue controls and rich realsound now also for the iPhone
Powerboat Challenge™ has achieved spectacular ratings on leading mobile games magazines like Pocketgamer, Airgamer and Mobilegame FAQS. For iPhone™ owners the racing game now offers an even better full-throttle experience with fast powerboats, cool dudes, hot babes, and cheeky comments. The new version is uncompromising in terms of sound and…